Images and videos
Images

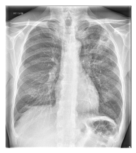
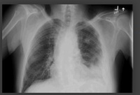
Pneumonia adquirida na comunidade em adultos (não relacionada à COVID-19)
Derrame pleural no lado esquerdo
Da coleção do Dr. R Light. Usado com permissão
See this image in context in the following section/s:

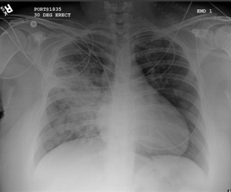
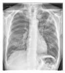
Pneumonia adquirida na comunidade em adultos (não relacionada à COVID-19)
Opacificação aumentada da região peri-hilar direita e do segmento superior dos lobos inferior e superior direitos, compatível com agravamento da pneumonia por aspiração
Da coleção do Dr. Roy Hammond. Usado com permissão
See this image in context in the following section/s:

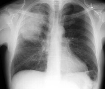
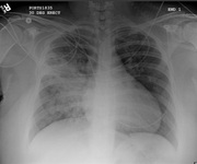
Pneumonia adquirida na comunidade em adultos (não relacionada à COVID-19)
Radiografia de tórax posteroanterior mostrando consolidação do lobo superior direito em um paciente com pneumonia adquirida na comunidade
Durrington HJ, et al. Recent changes in the management of community acquired pneumonia in adults. BMJ 2008;336:1429.
See this image in context in the following section/s:

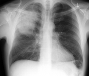
Pneumonia adquirida na comunidade em adultos (não relacionada à COVID-19)
Radiografia de tórax mostrando pneumonia cavitando no lobo superior esquerdo
Da coleção do Dr. Jonathan Bennett. Usado com permissão
See this image in context in the following section/s:

Pneumonia adquirida na comunidade em adultos (não relacionada à COVID-19)
Avaliação do risco e manejo da PAC nas primeiras 4 horas: ambiente hospitalar
Adaptado de Lim WS, et al. Thorax. Outubro de 2009; 64 (suplemento 3) :iii1-55
See this image in context in the following section/s:

Pneumonia adquirida na comunidade em adultos (não relacionada à COVID-19)
Avaliação do risco e manejo da PAC nas primeiras 4 horas: cenário comunitário. * Considere as circunstâncias sociais, comorbidades instáveis, a capacidade de fazer tratamento oral com segurança e confiabilidade e os desejos do paciente ao decidir se deseja tratá-los em casa. **A maioria dos pacientes com PAC de gravidade moderada deve ser encaminhada ao hospital. No entanto, você deve considerar as circunstâncias sociais, a capacidade de fazer o tratamento oral com segurança, as comorbidades instáveis e os desejos do paciente ao decidir sobre o tratamento domiciliar
Adaptado de Lim WS, et al. Thorax. Outubro de 2009; 64 (suplemento 3) :iii1-55
See this image in context in the following section/s:
Use of this content is subject to our disclaimer