Imágenes y vídeos
Imágenes

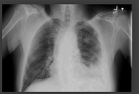
Neumonía adquirida en la comunidad en adultos (no COVID-19)
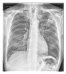
derrame pleural del lado izquierdo
De la colección del Dr. R Light. Usado con autorización
Ver esta imagen en el contexto de la/s siguiente/s sección/es:

Neumonía adquirida en la comunidad en adultos (no COVID-19)
Evaluación de riesgos y manejo de la NAC en las primeras 4 horas: ámbito hospitalario
Adaptado de Lim WS, et al. Thorax. Octubre de 2009; 64 (Supl 3): iii1-55
Ver esta imagen en el contexto de la/s siguiente/s sección/es:

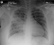
Neumonía adquirida en la comunidad en adultos (no COVID-19)
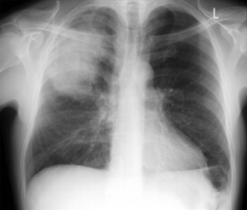
Radiografía de tórax posterior-anterior que muestra consolidación del lóbulo superior derecho en un paciente con neumonía adquirida en la comunidad
Durrington HJ, et al. Recent changes in the management of community acquired pneumonia in adults. BMJ 2008;336:1429.
Ver esta imagen en el contexto de la/s siguiente/s sección/es:

Neumonía adquirida en la comunidad en adultos (no COVID-19)
Radiografía de tórax que muestra neumonía cavitante en el lóbulo superior izquierdo
De la colección del Dr. Jonathan Bennett. Usado con autorización
Ver esta imagen en el contexto de la/s siguiente/s sección/es:

Neumonía adquirida en la comunidad en adultos (no COVID-19)
Opacificación aumentada de la región perihiliar derecha y del segmento superior de los lóbulos inferior y superior derechos coincidente con empeoramiento de neumonía por aspiración
De la colección del Dr. Roy Hammond. Usado con autorización
Ver esta imagen en el contexto de la/s siguiente/s sección/es:

Neumonía adquirida en la comunidad en adultos (no COVID-19)
Evaluación de riesgos y manejo de la NAC en las primeras 4 horas: entorno comunitario. *Tenga en cuenta las circunstancias sociales, las comorbilidades inestables, la capacidad de tomar el tratamiento oral de manera segura y confiable, y los deseos del paciente al decidir si tratar a los pacientes en casa. **La mayoría de los pacientes con NAC de gravedad moderada deben ser derivados al hospital. Sin embargo, debe considerar las circunstancias sociales, la capacidad de tomar el tratamiento oral de manera segura, las comorbilidades inestables y los deseos del paciente al decidir sobre el tratamiento en el hogar
Adaptado de Lim WS, et al. Thorax. Octubre de 2009; 64 (Supl 3): iii1-55
Ver esta imagen en el contexto de la/s siguiente/s sección/es:
El uso de este contenido está sujeto a nuestra cláusula de exención de responsabilidad