სურათები და ვიდეოები
სურათები

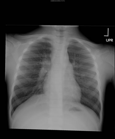
Pulmonary tuberculosis
Right hilar adenopathy in a child
From the personal collection of David Horne and Masahiro Narita; used with permission
მოცემული სურათის კონტექსტში დათვალიერებისთვის ეწვიეთ შემდეგ სექციას (სექციებს):

Pulmonary tuberculosis
Pulmonary TB with cavitation
From the personal collection of David Horne and Masahiro Narita; used with permission
მოცემული სურათის კონტექსტში დათვალიერებისთვის ეწვიეთ შემდეგ სექციას (სექციებს):

Pulmonary tuberculosis
Right-sided pleural effusion
From the personal collection of David Horne and Masahiro Narita; used with permission
მოცემული სურათის კონტექსტში დათვალიერებისთვის ეწვიეთ შემდეგ სექციას (სექციებს):

Pulmonary tuberculosis
Opacities in right lower lobe in a patient with pulmonary TB and diabetes
From the personal collection of David Horne and Masahiro Narita; used with permission
მოცემული სურათის კონტექსტში დათვალიერებისთვის ეწვიეთ შემდეგ სექციას (სექციებს):
ამ მასალის გამოყენება ექვემდებარება ჩვენს განცხადებას