Resumo
Definição
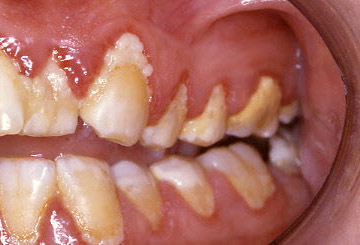
História e exame físico
Principais fatores diagnósticos
- presença de fatores de risco
- sangramento na escovação dos dentes
- placa dental bacteriana
- necrose e ulceração na gengiva livre
Outros fatores diagnósticos
- halitose
- gengiva avermelhada e edemaciada
- formação de pseudomembrana
- linfadenopatia cervical
- febre
- mal-estar
- dor
Fatores de risco
- higiene bucal ineficiente
- tabagismo
- diabetes mellitus
- gestação
- grave desnutrição ou deficiências nutricionais marginais
- HIV/AIDS (na gengivite necrosante [GN])
- estresse (na gengivite necrosante [GN])
- infecções (virais) graves (na gengivite necrosante [GN])
- história pregressa de gengivite necrosante (GN)
- estresse (na gengivite induzida por placa dental bacteriana)
- medicamentos xerostômicos
- sexo masculino
- condições de habitação precárias (gengivite necrosante [GN])
- ingestão elevada de bebidas alcoólicas
- uso de substâncias
Investigações diagnósticas
Primeiras investigações a serem solicitadas
- diagnóstico clínico
Algoritmo de tratamento
gengivite necrosante (GN)
gengivite não necrosante
Colaboradores
Autores
Giuseppina Campisi, DDS, MS
Professor of Oral Diseases
Department of Surgical, Oncological and Oral Sciences
School of Dentistry
University of Palermo
Palermo
Italy
Declarações
GC declares that she has no competing interests.
Giuseppe Pizzo, DDS
Associate Professor of Periodontology and Dental Public Health
Department of Surgical, Oncological and Oral Sciences
School of Dentistry
University of Palermo
Palermo
Italy
Declarações
GP declares that he has no competing interests.
Agradecimentos
Dr Giuseppina Campisi and Dr Giuseppe Pizzo would like to gratefully acknowledge Dr Bruce L. Pihlstrom and Dr Alice E. Curran, previous contributors to this topic.
Declarações
BLP and AEC declare that they have no competing interests.
Revisores
Gary Armitage, MD
Professor
Division of Periodontology
University of California
San Francisco
CA
Declarações
GA declares that he has no competing interests.
Lynn Solomon, MD
Assistant Professor
Tufts University
Boston
MA
Declarações
LS declares that she has no competing interests.
Donald J. DeNucci, DDS, MS
Program Director
Practice Based Research Networks
National Institute of Dental and Craniofacial Research
NIH
Bethesda
MD
Declarações
DJD declares that he has no competing interests.
Stephen Porter, BSc, PhD, MD, FDSRCS, FDSRCSEd, FHEA
Institute Director
Professor of Oral Medicine
Academic Head, Oral Medicine and Special Needs Dentistry Unit
Honorary Consultant in Oral Medicine, UCLH NHS Foundation Trust
UCL Eastman Dental Institute
London
UK
Declarações
SP declares that he has no competing interests.
Marco Carrozzo, MD, DSM
Professor of Oral Medicine
School of Dental Sciences
University of Newcastle Upon Tyne
UK
Declarações
None declared
Créditos aos pareceristas
Os tópicos do BMJ Best Practice são constantemente atualizados, seguindo os desenvolvimentos das evidências e das diretrizes. Os pareceristas aqui listados revisaram o conteúdo pelo menos uma vez durante a história do tópico.
Declarações
As afiliações e declarações dos pareceristas referem--se ao momento da revisão.
Referências
Principais artigos
Chapple ILC, Mealey BL, Van Dyke TE, et al. Periodontal health and gingival diseases and conditions on an intact and a reduced periodontium: Consensus report of workgroup 1 of the 2017 World Workshop on the Classification of Periodontal and Peri-Implant Diseases and Conditions. J Periodontol. 2018 Jun;89 Suppl 1:S74-84. Resumo
Farah CS, Balasumbramaniam R, McCullough MJ. Contemporary Oral Medicine. A Comprehensive Approach to Clinical Practice. 1st ed. New York, NY: Springer International Publishing; 2019.
Public Health England (PHE). Delivering better oral health: an evidence-based toolkit for prevention. 3rd ed. London: Department of Health; 2021.Texto completo
Artigos de referência
Uma lista completa das fontes referenciadas neste tópico está disponível para os usuários com acesso total ao BMJ Best Practice.

Diagnósticos diferenciais
- Líquen plano oral
- Penfigoide
- Pênfigo
Mais Diagnósticos diferenciaisFolhetos informativos para os pacientes
Abandono do hábito de fumar
Mau hálito
Mais Folhetos informativos para os pacientesConectar-se ou assinar para acessar todo o BMJ Best Practice
O uso deste conteúdo está sujeito ao nosso aviso legal