Summary
Definition
History and exam
Key diagnostic factors
- weakness
- altered sensation
- sensory loss
- visual changes
- photophobia
- headache
- aphasia
- dysarthria
- ataxia
- sudden onset followed by progression
- vertigo
- nausea/vomiting
- altered level of consciousness/coma
- confusion
- gaze paresis
Risk factors
- hypertension
- advanced age
- male sex
- Asian, black, and/or Hispanic ethnicity
- family history of hemorrhagic stroke
- hemophilia
- cerebral amyloid angiopathy
- sickle cell disease
- autosomal dominant mutations in the COL4A1 gene
- hereditary hemorrhagic telangiectasia
- autosomal dominant mutations in the KRIT1, CCM2, or PDCD10 genes
- anticoagulation
- illicit sympathomimetic drugs
- vascular malformations
- Moyamoya disease
- pregnancy
- smoking
- nonsteroidal anti-inflammatory drugs (NSAIDs)
- obstructive sleep apnea
- diabetes mellitus
- heavy alcohol abuse
- cerebral vasculitis
- thrombocytopenia
- long sleep duration and poor sleep quality
- leukemia
Diagnostic tests
1st tests to order
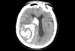
- noncontrast head CT
- chemistry panel
- CBC
- clotting tests
- ECG
- platelet function test
- urine drug screen
- pregnancy test in women of childbearing age
- liver function test
- intracerebral hemorrhage (ICH) score
Tests to consider
- CT angiography (CTA) and venography
- magnetic resonance angiography and venography
- conventional (invasive) angiography
- MRI brain
- MRI brain with diffusion-weighted imaging (DWI) and gradient-echo sequence (GRE)
- MRI brain with susceptibility-weighted imaging (SWI)
Treatment algorithm
presumed hemorrhagic stroke
noncerebellar bleed: stable and alert
noncerebellar bleed: decompensating
<3 cm cerebellar bleed: stable and alert
>3 cm cerebellar bleed or drowsy/unstable
Contributors
Expert advisers
Raisa C. Martinez, MD
Neurocritical Care Unit
Department of Neurosciences
Wellstar Health System, Kennestone
Marietta, GA
Disclosures
RCM declares that she has no competing interests.
Acknowledgements
Dr Raisa Martinez would like to gratefully acknowledge Dr Fernando D. Goldenberg, Dr Alejandro Hornik, Dr Eric E. Smith, and Dr T. Dion Fung, the previous contributors to this topic.
Disclosures
EES is an author of a number of references cited in this topic. FDG, AH, and TDF declare that they have no competing interests.
Peer reviewers
Louis R. Caplan, MD
Lecturer in Neurology
Hospital Chief
Cerebrovascular/Stroke Division
Beth Israel Deaconess Medical Center
Division of Cerebrovascular/Stroke
Boston, MA
Disclosures
LRC declares that he has no competing interests.
Julien Morier, MD
Neurology Registrar
Neurology Service
Centre Hospitalier Universitaire Vaudois (CHUV)
Lausanne
Switzerland
Disclosures
JM declares that he has no competing interests.
Peer reviewer acknowledgements
BMJ Best Practice topics are updated on a rolling basis in line with developments in evidence and guidance. The peer reviewers listed here have reviewed the content at least once during the history of the topic.
Disclosures
Peer reviewer affiliations and disclosures pertain to the time of the review.
References
Key articles
Greenberg SM, Ziai WC, Cordonnier C, et al. 2022 Guideline for the management of patients with spontaneous intracerebral hemorrhage: a guideline from the American Heart Association/American Stroke Association. Stroke. 2022 Jul;53(7):e282-361.Full text Abstract
Kleindorfer DO, Towfighi A, Chaturvedi S, et al. 2021 guideline for the prevention of stroke in patients with stroke and transient ischemic attack: a guideline from the American Heart Association/American Stroke Association. Stroke. 2021 Jul;52(7):e364-e467.Full text Abstract
Reference articles
A full list of sources referenced in this topic is available to users with access to all of BMJ Best Practice.

Differentials
- Ischemic stroke
- Hypertensive encephalopathy
- Hypoglycemia
More DifferentialsGuidelines
- Clinical guidelines for stroke management
- European Stroke Organisation (ESO) and European Association of Neurosurgical Societies (EANS) guideline on stroke due to spontaneous intracerebral haemorrhage
More GuidelinesCalculators
NIH Stroke Score
More CalculatorsVideos
Venepuncture and phlebotomy: animated demonstration
How to perform an ECG: animated demonstration
More videosPatient information
Stroke caused by a blood clot: preventing another stroke
Stroke: treatment
More Patient informationLog in or subscribe to access all of BMJ Best Practice
Use of this content is subject to our disclaimer