Imagens e vídeos
IMAGENS

Avaliação de dor abdominal em crianças
Menino com dor testicular à direita. Testículo edemaciado, sensível e eritematoso causado por torção de apêndice testicular. Os sinais e sintomas clínicos mimetizam os de torção testicular
Do acervo de Dr. KuoJen Tsao; usado com permissão
Veja esta imagem em contexto nas seguintes seções:

Avaliação de dor abdominal em crianças
Tomografia computadorizada (TC) revelando fecalito (seta branca) fora do lúmen do apêndice consistente com apêndice perfurado
Do acervo de Dr. KuoJen Tsao; usado com permissão
Veja esta imagem em contexto nas seguintes seções:

Avaliação de dor abdominal em crianças
Foto intraoperatória de divertículo de Meckel
Do acervo de Dr. KuoJen Tsao; usado com permissão
Veja esta imagem em contexto nas seguintes seções:

Avaliação de dor abdominal em crianças
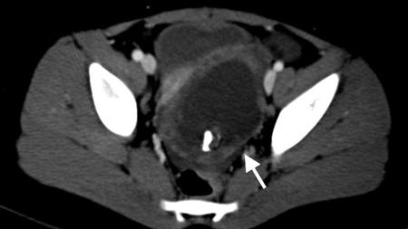
Tomografia computadorizada (TC) de menina revelando torção ovariana. Grande lesão cística pélvica com calcificações (seta branca) consistentes com teratoma ou cisto dermoide
Do acervo de Dr. KuoJen Tsao; usado com permissão
Veja esta imagem em contexto nas seguintes seções:

Avaliação de dor abdominal em crianças
Ultrassonografia de vesícula biliar demonstrando colelitíase com sombreamento característico
Do acervo de Dr. KuoJen Tsao; usado com permissão
Veja esta imagem em contexto nas seguintes seções:

Avaliação de dor abdominal em crianças
Radiografia abdominal com opacidades no quadrante superior direito consistentes com cálculos biliares
Do acervo de Dr. KuoJen Tsao; usado com permissão
Veja esta imagem em contexto nas seguintes seções:

Avaliação de dor abdominal em crianças
Tomografia computadorizada (TC) revelando abscesso intra-abdominal consistente com apêndice perfurado
Do acervo de Dr. KuoJen Tsao; usado com permissão
Veja esta imagem em contexto nas seguintes seções:

Avaliação de dor abdominal em crianças
Foto intraoperatória de grande cisto esplênico
Do acervo de Dr. KuoJen Tsao; usado com permissão
Veja esta imagem em contexto nas seguintes seções:

Avaliação de dor abdominal em crianças
Enema com contraste revelando intussuscepção ileocólica (seta preta)
Do acervo de Dr. KuoJen Tsao; usado com permissão
Veja esta imagem em contexto nas seguintes seções:

Avaliação de dor abdominal em crianças
Foto intraoperatória de massa ovariana manifestada como torção ovariana
Do acervo de Dr. KuoJen Tsao; usado com permissão
Veja esta imagem em contexto nas seguintes seções:

Avaliação de dor abdominal em crianças
Apêndice necrótico
Do acervo de Dr. KuoJen Tsao; usado com permissão
Veja esta imagem em contexto nas seguintes seções:

Avaliação de dor abdominal em crianças
Menino pequeno com testículo esquerdo edemaciado, sensível e eritematoso. Testículo retraído consistente com torção testicular
Do acervo de Dr. KuoJen Tsao; usado com permissão
Veja esta imagem em contexto nas seguintes seções:

Avaliação de dor abdominal em crianças
Radiografia abdominal de neonato com padrão fecal anormal e constipação. Os cólons transverso e descendente dilatados são sugestivos de doença de Hirschsprung
Do acervo de Dr. KuoJen Tsao; usado com permissão
Veja esta imagem em contexto nas seguintes seções:

Avaliação de dor abdominal em crianças
Lactente com protuberância na virilha direita consistente com hérnia inguinal encarcerada. A ausência de edema e eritema na pele sobrejacente não descarta a estrangulação do intestino delgado
Do acervo de Dr. KuoJen Tsao; usado com permissão
Veja esta imagem em contexto nas seguintes seções:

Avaliação de dor abdominal em crianças
Radiografia abdominal de menino com dor abdominal aguda intensa, revelando fezes em todo o cólon e reto
Do acervo de Dr. KuoJen Tsao; usado com permissão
Veja esta imagem em contexto nas seguintes seções:

Avaliação de dor abdominal em crianças
Tomografia computadorizada (TC) revelando cisto cheio de líquido dentro do baço
Do acervo de Dr. KuoJen Tsao; usado com permissão
Veja esta imagem em contexto nas seguintes seções:

Avaliação de dor abdominal em crianças
Intussuscepção: os vasos sanguíneos ficam presos entre as camadas do intestino, o que causa redução do suprimento de sangue, edema, estrangulação intestinal e gangrena. Por conseguinte, podem ocorrer sepse, choque e óbito.
Criado pelo BMJ Knowledge Centre
Veja esta imagem em contexto nas seguintes seções:

Avaliação de dor abdominal em crianças
Estudo de trato gastrointestinal superior com contraste revelando má rotação com volvo. O duodeno não é capaz de desenvolver a alça anatômica normal em forma de C. Há falha na passagem do contraste, resultando em bico de pássaro característico consistente com volvo do intestino médio agudo
Do acervo de Dr. KuoJen Tsao; usado com permissão
Veja esta imagem em contexto nas seguintes seções:

Avaliação de dor abdominal em crianças
Tomografia computadorizada (TC) de adolescente do sexo feminino que apresenta dor abdominal na região médio-epigástrica resultante de pancreatite biliar. A grande coleção de fluidos no leito pancreático (seta branca) e a ausência de realce pancreático sugerem necrose liquefativa do pâncreas
Do acervo de Dr. KuoJen Tsao; usado com permissão
Veja esta imagem em contexto nas seguintes seções:

Avaliação de dor abdominal em crianças
Torção de apêndice testicular resultante em infarto agudo
Do acervo de Dr. KuoJen Tsao; usado com permissão
Veja esta imagem em contexto nas seguintes seções:

Avaliação de dor abdominal em crianças
Radiografia abdominal exibindo padrão de gases com sinal da dupla bolha consistente com atresia duodenal
Do acervo de Dr. KuoJen Tsao; usado com permissão
Veja esta imagem em contexto nas seguintes seções:
Vídeos
Canulação venosa periférica – Vídeo de demonstraçãoComo inserir uma cânula venosa periférica no dorso da mão.
Venopunção e flebotomia – Vídeo de demonstraçãoComo colher uma amostra de sangue venoso da fossa antecubital usando uma agulha a vácuo.
O uso deste conteúdo está sujeito ao nosso aviso legal