Diagnósticos diferenciais
comuns
Constipação
História
dieta e ingestão de líquidos deficientes; história de paralisia cerebral, dificuldades de aprendizagem ou problemas na medula espinhal; fatores psicológicos (por exemplo, depressão, abuso, transtorno de deficit da atenção com hiperatividade [TDAH], autismo, transtorno desafiador de oposição), desmame, treinamento esfincteriano, início da vida escolar ou outras causas de estresse podem estar presentes; dor abdominal vaga, defecação dolorosa (os lactentes podem estender as pernas e contrair os músculos da região anal e glútea para impedir a evacuação; as crianças geralmente levantam os artelhos, movem-se para trás e para frente e enrijecem pernas e glúteos, incontinência fecal; medicamentos com agentes constipantes (por exemplo, suplementos de ferro); obesidade, baixo peso ao nascer
Exame físico
os achados ao exame físico podem ser mínimos (desconforto abdominal leve, fezes no reto); distensão abdominal em casos graves ou em crianças pequenas; massa fecal palpável ao exame abdominal; ausência de peritonite (defesa ou dor à descompressão brusca); covinhas ou depressões sacrais e/ou acrocórdones/tufos indicativos de anormalidade da medula espinhal (ou seja, espinha bífida); fissura anal, hemorroidas (raras em crianças; podem ser confundidas com acrocórdones na doença de Crohn); ânus perfurado ou estenose anal
Primeira investigação
- nenhuma:
diagnóstico clínico
Mais
Outras investigações
- radiografia abdominal:
fezes visíveis em todo o cólon
Mais - estudo do trânsito colônico do marcador radiopaco:
trânsito colônico lento, como medido pelo atraso no movimento marcador, confirma constipação
Apendicite aguda
História
história de dor periumbilical aguda ou com pontadas que migra para o quadrante inferior direito; febre, vômitos e/ou diarreia podem estar presentes; ocorre em todas as faixas etárias, mas é rara em lactentes
Exame físico
o paciente permanece parado, tenta não se mover (especialmente em casos graves com irritação peritoneal significativa); sinal de McBurney positivo (dor e sensibilidade no quadrante inferior direito à palpação em um ponto dois terços ao longo de uma linha desde o umbigo até a espinha ilíaca anterossuperior); sinal de Rovsing positivo (dor no quadrante inferior direito em resposta à palpação no lado esquerdo, sugerindo irritação peritoneal); sinal de psoas positivo (dor no quadrante inferior direito quando a criança é posicionada do lado esquerdo e o quadril direito é levemente hiperestendido, sugerindo irritação na fáscia e músculo psoas); sinal do obturador positivo (dor no quadrante inferior direito à rotação interna da coxa direita flexionada); sensibilidade retal e/ou abscesso palpável no quadrante inferior direito
Primeira investigação
Другие обследования
- ultrassonografia abdominal:
apêndice dilatado, líquido livre; pode haver apendicolito
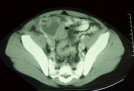
Больше - tomografia computadorizada (TC) de abdome e pelve:
apêndice dilatado, líquido livre, encarceramento mesentérico, ou apendicolito; abscesso ou flegmão consistente com apendicite perfurado
Больше - Ressonância nuclear magnética (RNM) de abdome e pelve:
apêndice dilatado; hiperintensidade dos conteúdos luminais do apêndice, tecido periapendicial e parede espessa
Больше
Gastroenterite
História
dor abdominal vaga com náuseas e vômitos; diarreia com ou sem muco nas fezes; viagem ou contato recente com indivíduos doentes ou ingestão de alimentos e bebidas suspeitos; >10 dias sugere causa parasitária ou não infecciosa; febre, calafrios, mialgia, rinorreia, sintomas do trato respiratório superior
Exame físico
dor abdominal difusa sem evidências de peritonite (ausência de rigidez ou dor à descompressão brusca); distensão abdominal; ruídos hidroaéreos hiperativos; muco nas fezes (por causa bacteriana ou parasitária); sinais de depleção de volume (taquicardia, hipotensão, membranas mucosas ressecadas, enchimento capilar lentificado, fontanela deprimida em lactentes); febre baixa, letargia e/ou irritabilidade, resposta reduzida a estímulos nocivos, temperatura anormal (elevada ou baixa)
Primeira investigação
- nenhuma:
diagnóstico clínico
Outras investigações
- eletrólitos séricos:
sódio e potássio normais ou baixos
Mais - ureia e creatinina:
normais; pode haver evidências de insuficiência renal em pacientes com síndrome hemolítico-urêmica
Mais - microscopia das fezes e coprocultura:
leucócitos fecais; ovos ou parasitas; cultura positiva para agente infeccioso na gastroenterite bacteriana
Mais - tira reagente para exame de urina:
pode detectar a presença de albumina ou sangue na síndrome hemolítico-urêmica
- Hemograma completo:
variável
Mais - hemocultura:
pode ser positiva para agente infeccioso na presença de sepse
Mais - endoscopia com biópsia:
variável
Mais
Infecção do trato urinário
História
neonatos e lactentes: febre, vômitos, letargia, irritabilidade e baixa aceitação alimentar; crianças mais velhas: disúria, polaciúria, urgência urinária, dorsalgia se com pielonefrite
Exame físico
variável; febre >39 °C (>102.2 °F); sensibilidade suprapúbica e/ou no ângulo costovertebral; irritabilidade; urina com odor desagradável; hematúria macroscópica
Primeira investigação
- tira reagente para exame de urina:
esterase leucocitária positiva e/ou nitrito positivo
Mais - microscopia da urina:
>4 leucócitos por campo de grande aumento ou qualquer bactéria
Mais - urocultura:
aspirado suprapúbico: >1000 unidades formadoras de colônia (UFC)/mL; cateter: >10,000 UFC/mL; urina de jato médio: >100,000 UFC/mL
Mais
Outras investigações
- ultrassonografia renal:
pode haver anormalidades, como dilatação dos ureteres ou da pelve renal ou distensão da bexiga com parede espessa; abscesso renal: área radioluzente no parênquima renal com hipoperfusão local no Doppler colorido; abscesso perinefrético: líquido hipoecoico
Mais - cistouretrografia miccional:
quando há refluxo vesicoureteral: contraste observado ascendendo da bexiga para o trato urinário superior
Mais
Trauma abdominal (contuso ou penetrante)
História
histórico de trauma; pode ter múltiplas queixas; a história pode sugerir abuso infantil ou trauma não acidental (por exemplo, história inconsistente ou variável, história não condizente com as lesões/exame físico)
Exame físico
desconforto abdominal; marcas cutâneas que refletem mecanismo de lesão (por exemplo, marca de cinto de segurança); relato de dor no ombro esquerdo (por lesão esplênica); hematúria ou sangue no meato uretral (indicam lesão renal ou no trato urinário); pode haver sinais de trauma não acidental (por exemplo, queimaduras de cigarro, hemorragias subdurais em lactentes/crianças pequenas)
Primeira investigação
Outras investigações
Colelitíase/colecistite
História
dor no quadrante superior direito episódica e recorrente, pode irradiar-se para as costas, natureza clássica em cólica; ocorre frequentemente após comer, principalmente alimentos ricos em gordura; pode haver náuseas, vômitos e anorexia; dor e febre persistentes podem significar colecistite aguda; pode haver relato de dor no ombro direito; presença de fatores de risco (por exemplo, doença falciforme, fibrose cística)
Exame físico
sensibilidade na região subcostal direita; sinal de Murphy positivo (durante a palpação, a inspiração profunda faz com que a dor piore subitamente e produz parada inspiratória); vesícula biliar palpável, distendida e sensível; a presença de febre sugere colecistite aguda; é raro haver icterícia, sugerindo obstrução comum do ducto biliar
Primeira investigação
- ultrassonografia do quadrante superior direito:
cálculos biliares; dilatação ductal, parede da vesícula biliar espessada (>4 mm); fluido pericolecístico; pode-se também observar o sinal ultrassonográfico de Murphy
- testes hepáticos:
podem-se observar fosfatase alcalina, bilirrubina e aminotransferase elevadas
Mais - Hemograma completo:
contagem normal de leucócitos (sugere colelitíase) ou leucocitose (sugere colecistite aguda)
- proteína C-reativa:
normal (sugere colelitíase) ou elevada (sugere colecistite aguda)
Dismenorreia primária
História
história de dor em cólica recorrente, associada à menstruação
Exame físico
desconforto na parte abdominal inferior; exame pélvico normal
Primeira investigação
- nenhuma:
o diagnóstico é clínico
Outras investigações
- ultrassonografia abdominal/pélvica:
normal; entretanto, é útil para descartar outros diagnósticos
Pneumonia
História
tosse; produção de expectoração purulenta; sintomas do trato respiratório superior (rinorreia, faringite, congestão nasal), dispneia, febre e calafrios; imobilização secundária à dor; vômitos, diarreia, anorexia
Exame físico
taquipneia, cianose, murmúrios vesiculares diminuídos, estertores à ausculta, macicez à percussão; desconforto e distensão abdominais sem defesa ou rebote
Primeira investigação
- Hemograma completo:
variável
Mais - radiografia torácica:
infiltração, consolidação, derrame
- cultura de escarro:
crescimento do organismo infeccioso
Dor abdominal funcional
História
a história pode ser de dor aguda, crônica ou cíclica (frequentemente, meninas de 8 a 12 anos de idade); é comum haver queixa de dor abdominal central, persistente e vaga; pode estar associada a náuseas e vômitos, particularmente nos casos crônicos; uma história familiar de distúrbios funcionais também é comum (por exemplo, síndrome do intestino irritável, ansiedade, transtornos psiquiátricos e enxaqueca); os critérios de Roma IV usam os sintomas para o diagnóstico
Exame físico
sensibilidade periumbilical, abdome macio, não distendido, ausência de defesa ou dor à descompressão brusca; resultado normal para exame físico de outros sistemas
Primeira investigação
- nenhuma:
o diagnóstico é clínico após a exclusão de possíveis causas orgânicas
Outras investigações
- Hemograma completo:
normal
- velocidade de hemossedimentação:
normal
- urinálise:
normal
- microscopia das fezes:
normal
Cólica infantil
História
paroxismos de choro incontrolável em lactentes saudáveis e bem alimentados com <5 meses de vida; a duração do choro é >3 horas por dia e >3 dias por semana, por, pelo menos, 3 semanas; os irmãos podem apresentar história de cólicas infantis
Exame físico
os achados dos exames podem ser mínimos; o lactente, geralmente, apresenta-se bem e ativo
Primeira investigação
- nenhuma:
diagnóstico clínico
Mais
Incomuns
Intussuscepção
História
geralmente ocorre em lactentes entre 3 meses e 12 meses de idade que apresentam cólica abdominal, flexão das pernas, febre, letargia e vômitos; a púrpura de Henoch-Schönlein (PHS) pode ser um fator causador em crianças mais velhas (geralmente com <11 anos de idade); queixas abdominais vagas; cólica abdominal intensa; as crianças podem ficar inconsoláveis
Exame físico
pode apresentar sangue macroscópico ou oculto que pode estar misturado com muco e ter um aspecto gelatinoso avermelhado, além de desconforto abdominal e massa abdominal à palpação; crianças mais velhas podem apresentar sinais de PHS (rash de púrpura palpável, sangue nas fezes)
Primeira investigação
Outras investigações
- tomografia computadorizada (TC) de abdome e pelve:
lesão em alvo: massa intraluminal de tecido mole, com uma área de gordura excentricamente posicionada; massa reniforme: alta atenuação periférica e atenuação central mais baixa; massa em forma de salsicha: áreas alternadas de baixa e alta atenuação representando a parede intestinal menos espaçada, gordura mesentérica e/ou fluido e gás intestinal
Mais - Hemograma completo:
pode mostrar leucócitos elevados (sugere isquemia intestinal)
- exame de sangue oculto nas fezes:
o exame positivo pode respaldar a suspeita de intussuscepção
Mais
Divertículo de Meckel
História
comum em crianças com <2 anos de idade; pode manifestar-se com dor abdominal (intermitente ou mimetizar apendicite aguda) e/ou sangramento retal vermelho intenso indolor (hematoquezia); frequentemente assintomático
Exame físico
fezes vermelho-escuras, marrons ou gelatinosas avermelhadas; desconforto abdominal com rigidez e dor à descompressão brusca (pode sugerir diverticulite); massa abdominal palpável (pode sugerir intussuscepção)
Primeira investigação
Outras investigações
- tomografia computadorizada (TC) de abdome e pelve:
pode mostrar intussuscepção, divertículo de Meckel e/ou intestino dilatado consistente com obstrução intestinal
Mais
Adenite mesentérica
História
dor abdominal difusa; história de infecção do trato respiratório superior recente ou atual
Exame físico
febre, desconforto abdominal não localizado no quadrante inferior direito, rinorreia, faringe ou orofaringe hiperêmica (faringite) e/ou linfadenopatia extramesentérica associada (geralmente cervical)
Primeira investigação
- ultrassonografia abdominal:
linfonodos mesentéricos aumentados
Mais
Outras investigações
- tomografia computadorizada (TC) de abdome e pelve:
linfonodos mesentéricos aumentados
Mais
Doença de Hirschsprung
História
os homens são afetados com mais frequência; manifesta-se principalmente na primeira infância (antes dos 6 meses); a incapacidade de eliminar o mecônio nas primeiras 36 horas de vida é altamente sugestiva; aumento de incidência na síndrome de Down
Exame físico
distensão abdominal, preenchimento no quadrante inferior esquerdo; massa fecal palpável ao exame do abdome; ausência de peritonite (ausência de rigidez ou dor à descompressão brusca); reto pequeno e ausência de fezes ao exame retal (deve ser realizado por um médico capaz de interpretar características de doença de Hirschsprung); pode haver características dismórficas da síndrome de Down
Primeira investigação
Colite ulcerativa
História
história familiar positiva, diarreia hemorrágica, dor abdominal do tipo cólica, anorexia, perda de peso, febre, erupção cutânea
Exame físico
evidências de perda de peso, palidez, desconforto abdominal, massa abdominal, irite (olhos irritados e inflamados), artrite, sacroileíte, eritema nodoso, pioderma gangrenoso
Primeira investigação
- calprotectina fecal:
elevada
Mais - Hemograma completo:
leucocitose, anemia, trombocitose
Mais - colonoscopia com biópsia:
envolvimento retal uniforme e contínuo, perda da marcação vascular, eritema difuso, friabilidade e granularidade da mucosa, edema e úlceras da mucosa, fístulas (raramente observadas), íleo terminal normal (ou ileíte de refluxo leve na pancolite)
Mais - velocidade de hemossedimentação:
elevada
Mais - proteína C-reativa:
elevada
Mais
Outras investigações
- radiografias abdominais simples:
alças dilatadas com nível hidroaéreo secundário ao íleo paralítico; ar livre consistente com a perfuração; no megacólon tóxico, o cólon transverso encontra-se dilatado em 6 cm ou mais de diâmetro
Mais - tomografia computadorizada abdominal:
mucosa intestinal inflamada e espessada, sinal da impressão digital, dilatação intestinal ou evidência de estenose; mesentério inflamado; abscessos intra-abdominais
Mais - marcadores sorológicos: anticorpo anticitoplasma de neutrófilo com padrão perinuclear (p-ANCA) e anticorpo anti-Saccharomyces cerevisiae (ASCA):
p-ANCA positivo
Mais
Doença de Crohn
História
dor em cólica, diarreia intermitente, diarreia hemorrágica se a colite for uma característica (é menos comum haver sangue na doença de Crohn que na colite ulcerativa), perda de peso, fadiga, história familiar de doença inflamatória intestinal
Exame físico
úlceras aftosas, evidências de perda de peso, palidez, desconforto abdominal, massa abdominal, fístula perianal, abscesso perirretal, fissura anal, acrocórdones perianais; manifestações extraintestinais, como irite, artrite, sacroileíte, eritema nodoso, pioderma gangrenoso
Primeira investigação
- calprotectina fecal:
pode estar elevada
Mais - Hemograma completo:
leucocitose, anemia, trombocitose
Mais - proteína C-reativa:
elevada
Mais - velocidade de hemossedimentação:
elevada
Mais - colonoscopia com biópsia:
pode revelar inflamação, friabilidade, ulceração e edema
Mais - Enterografia por RM:
lesões descontínuas e segmentares (skip lesions), espessamento da parede intestinal, inflamação adjacente, abscesso, fístulas
Outras investigações
- radiografias abdominais simples:
dilatação do intestino delgado ou cólon; calcificação; abscessos intra-abdominais
Mais - radiografia do trato gastrointestinal superior com trânsito do intestino delgado:
edema e ulceração da mucosa com estreitamento e estenose luminal
Mais - tomografia computadorizada (TC) de abdome e pelve:
lesões descontínuas e segmentares (skip lesions), espessamento da parede intestinal, inflamação adjacente, abscesso, fístulas
Mais - marcadores sorológicos: anticorpo anticitoplasma de neutrófilo com padrão perinuclear (p-ANCA) e anticorpo anti-Saccharomyces cerevisiae (ASCA):
ASCA positivo
Mais
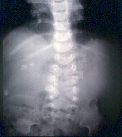
Obstrução do intestino delgado
História
intolerância alimentar, com náuseas e/ou vômitos biliosos; pode ocorrer ou não dor abdominal; história prévia de cirurgia abdominal; pode haver história de fibrose cística
Exame físico
distensão abdominal limitada (com obstruções proximais no duodeno ou nas primeiras porções do jejuno); pode ocorrer ou não desconforto abdominal; pode haver dor à descompressão brusca e defesa em caso de perfuração, isquemia e peritonite; ruídos hidroaéreos hiperativos (achado precoce), ruídos hidroaéreos hipoativos ou ausentes (achado tardio); possível presença de hérnia femoral, obturadora, umbilical ou ventral encarcerada
Primeira investigação
- radiografia abdominal:
alças do intestino delgado dilatadas, níveis hidroaéreos em todo o abdome
Mais
Outras investigações
- ultrassonografia abdominal:
pode demonstrar área focal causando obstrução
Mais - estudo do trato gastrointestinal superior com contraste:
intestino delgado dilatado; pode revelar uma zona de transição de obstrução
Mais - estudo do trato gastrointestinal inferior com contraste:
intestino delgado dilatado; pode revelar uma zona de transição de obstrução
Mais - tomografia computadorizada abdominal:
intestino delgado dilatado; pode revelar uma zona de transição de obstrução, massa, tumor, abscesso
Mais
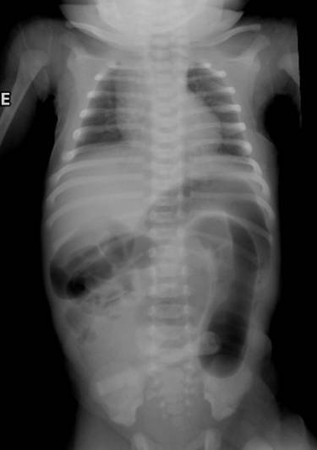
Volvo
História
faixa etária infantil; história de vômitos biliosos; a dor geralmente se manifesta como transição notável para um estado inconsolável
Exame físico
distensão e sensibilidade abdominais frequentemente difusas; ruídos hidroaéreos fracos ou ausentes, abdome rígido, defesa, dor à descompressão brusca, febre ou hematoquezia
Primeira investigação
- estudo do trato gastrointestinal superior com contraste:
sinal de bico de pássaro da estenose no local do volvo
Mais - radiografia abdominal:
obstrução parcial ou completa; alças intestinais dilatadas; níveis hidroaéreos; ar livre abdominal com perfuração
Mais - Hemograma completo:
leucócitos elevados (sugerem isquemia intestinal)
Outras investigações
- tomografia computadorizada abdominal:
obstrução intestinal com padrão de turbilhão do mesentério
Mais
Obstrução do intestino grosso
História
história de fatores de risco: problemas do neurodesenvolvimento; doença inflamatória intestinal, diabetes, dieta deficiente, ressecção colorretal prévia, abuso de laxativos, megacólon ou cirurgia abdominal prévia; mudança no hábito intestinal com obstrução parcial ou completa, ou alteração na densidade das fezes; cólica abdominal que se torna constante e se agrava ao movimento, tosse ou respiração profunda à medida que o intestino se aproxima da perfuração; intolerância alimentar, com náuseas ou vômitos
Exame físico
abdome timpânico e distendido; ruídos hidroaéreos hiperativos que desaparecem em estágios avançados; rebote, defesa e/ou rigidez abdominal quando há perfuração ou encontra-se próximo à perfuração; reto vazio; possível presença de hérnia femoral, obturadora, umbilical ou ventral encarcerada
Primeira investigação
- radiografia abdominal:
distensão gasosa do intestino grosso; volvo sugerido por alça intestinal em forma de feijão
Mais
Outras investigações
- ultrassonografia abdominal:
pode demonstrar área focal causando obstrução (por exemplo, intussuscepção)
Mais - estudo do trato gastrointestinal inferior com contraste:
pode indicar o local da obstrução
Mais - tomografia computadorizada (TC) de abdome e pelve:
distensão gasosa do intestino grosso; pode revelar uma zona de transição de obstrução
Mais - sigmoidoscopia flexível/rígida:
grande quantidade de fezes e muco na eliminação e descompressão do ápice do volvo
Mais
Enterocolite necrosante
História
neonatos prematuros com peso inferior a 1500 g; intolerância alimentar, apneia, letargia, fezes com sangue
Exame físico
distensão abdominal, sensibilidade, eritema na parede abdominal, hematoquezia, bradicardia
Primeira investigação
- Hemograma completo:
leucocitose ou leucopenia, anemia, trombocitopenia
Mais - hemocultura:
negativo
Mais - painel de eletrólitos séricos:
hiponatremia
- radiografia abdominal:
alças do intestino dilatadas, pneumatose intestinal, gás na veia porta, ar livre, alça intestinal presa; ausência do padrão de gases normal no intestino
Mais
Outras investigações
- ultrassonografia abdominal:
coleções de fluidos, ascites
Mais
Úlcera péptica
História
uso de anti-inflamatórios não esteroidais; história familiar de úlcera péptica; perda de peso, vômitos, anorexia e dor epigástrica intermitente, geralmente relacionada às refeições; dor muitas vezes noturna e, geralmente, aliviada com antiácidos; melena e/ou hematêmese quando o vaso sanguíneo está perfurado
Exame físico
sensibilidade epigástrica ou nada digno de nota, melena ou o exame de sangue oculto nas fezes pode ser positivo
Primeira investigação
- Hemograma completo:
normal ou leucocitose; anemia presente quando o sangramento é sustentado
- radiografia torácica em posição ortostática:
geralmente normais
Mais - radiografia do trato gastrointestinal superior com contraste hidrossolúvel:
defeitos na mucosa consistentes com úlcera ou contraste intraperitoneal livre consistente com perfuração
Mais - endoscopia digestiva alta:
inflamação, ulceração e hemorragia da mucosa
Mais
Outras investigações
- teste respiratório para Helicobacter pylori ou teste do antígeno fecal:
resultado positivo se o Helicobacter pylori estiver presente
Mais
Doença celíaca
Antecedentes
dor abdominal recorrente, cãibras ou distensão; distensão abdominal e diarreia; dermatite herpetiforme, uma erupção cutânea papulovesicular intensamente pruriginosa que afeta as superfícies extensoras dos membros, ocorre quase sempre em associação com a doença celíaca; pode haver história de deficiência de imunoglobulina A, diabetes do tipo 1, doença tireoidiana autoimune, síndrome de Down, síndrome de Sjögren, doença inflamatória intestinal ou colangite biliar primária; pode haver história familiar de doença celíaca
Examen
Dor abdominal generalizada ou distensão abdominal; abaixo do peso ou retardo do crescimento pôndero-estatural; dermatite herpetiforme
Primera prueba diagnóstica
- imunoglobulina A-transglutaminase tecidual (IgA-tTG):
título acima da faixa normal para o laboratório
Más - imunoglobulina A (IgA) quantitativa:
título normal ou abaixo da faixa normal do laboratório
Más - Hemograma completo:
pode apresentar anemia ferropriva
- endoscopia e biópsia do intestino delgado:
presença de linfócitos intraepiteliais, atrofia das vilosidades e hiperplasia da cripta
Más
Hepatite viral
Antecedentes
nascimento ou residência em uma área endêmica, exposição pré-natal, história familiar de hepatite viral crônica, vários parceiros sexuais, relação sexual com indivíduos infectados (hepatite B e/ou C), viagem para países em desenvolvimento, gestante (hepatite E); doença em estágio inicial: mal-estar, dores musculares e articulares, febre, náuseas, vômitos, diarreia, cefaleia, anorexia, urina escura, fezes claras, dor abdominal; doença em estágio avançado: tendências a perda de peso, formação de hematomas e sangramento
Examen
icterícia; em estágio inicial: hepatoesplenomegalia, linfadenopatia sensíveis; doença em estágio avançado: degeneração generalizada, caquexia, ginecomastia, ascite, alteração sensorial, asterixis (flapping) ou reflexos tendinosos profundos diminuídos, cabeça de medusa, ascite, hepatoesplenomegalia, congestão secundários à insuficiência cardíaca direita
Primera prueba diagnóstica
- testes séricos da função hepática:
níveis elevados de bilirrubina direta, aspartato transaminase (AST), alanina aminotransferase (ALT), fosfatase alcalina (FAL) e gama-glutamiltransferase
Más - anticorpo IgM (imunoglobulina M) sérico antivírus da hepatite A (anti-HAV):
positivo quando há infecção aguda por hepatite A
- teste para o antígeno de superfície da hepatite B (HBsAg) sérico:
positivo quando há infecção por hepatite B
Más - antígeno de núcleo da hepatite B (HBcAg) sérico:
positivo quando há infecção por hepatite B
Más - antígeno sérico e da hepatite B (HBeAg):
positivo quando há infecção por hepatite B
Mais - ácido ribonucleico do vírus da hepatite C sérico:
positivo quando há infecção por hepatite C
Mais - nível sérico total de anticorpos IgM e IgG (imunoglobina G) antivírus da hepatite D (anti-HDV):
positivo quando há infecção por hepatite D
Mais - anticorpos séricos IgM antivírus da hepatite E (anti-HEV):
positivo quando há infecção aguda por hepatite E
Discinesia biliar
História
história de investigação negativa prévia para colelitíase comum; dor recorrente no quadrante superior direito; náuseas e vômitos; os sintomas podem ou não estar associados à ação de comer
Exame físico
pode ser equívoca; sensibilidade no quadrante superior direito
Primeira investigação
- TFHs:
níveis normais de aspartato aminotransferase, alanina aminotransferase, fosfatase alcalina (FAL) e bilirrubina
- ultrassonografia do quadrante superior direito:
normal
Mais
Outras investigações
- cintilografia com ácido iminodiacético hepatobiliar (HIDA):
fração de ejeção de vesícula biliar reduzida (<35%)
Mais
Pancreatite aguda
História
náuseas, vômitos, dor epigástrica que se irradia para o dorso; dor abdominal de início agudo
Exame físico
desconforto na região epigástrica ou superior do abdome; taquicardia e hipotensão em casos graves; descoloração em torno do umbigo (sinal de Cullen positivo) ou dos flancos (sinal de Grey-Turner positivo) em casos de pancreatite hemorrágica; crianças pequenas podem demonstrar apenas piora da irritabilidade e distensão abdominal
Primeira investigação
Outras investigações
- ultrassonografia abdominal:
pode parecer normal no início da evolução da doença; aumento do pâncreas; edema peripancreático; ducto pancreático dilatado; pode mostrar doença biliar subjacente
Mais - tomografia computadorizada (TC) do abdome com contraste intravenoso:
inflamação peripancreática (acúmulo de gordura); pode mostrar cálculos biliares
Mais
Infarto/cistos esplênicos
História
variável; pode haver história de trauma; cistos assintomáticos ou incômodos, dor abdominal no lado esquerdo; o infarto geralmente causa febre e dor, mas é ocasionalmente assintomático; dor no ombro esquerdo e/ou dor torácica; presença de fatores de risco para infarto esplênico (doença falciforme, grandes altitudes)
Exame físico
pode haver sensibilidade vaga no quadrante superior esquerdo
Primeira investigação
- ultrassonografia com Doppler:
infarto ou cisto no baço
Mais
Outras investigações
- tomografia computadorizada (TC) do abdome com contraste intravenoso:
infarto ou cisto no baço
Mais
Nefrolitíase
História
história familiar de nefrolitíase e/ou gota; dor abdominal e/ou nos flancos em cólica, intermitente e intensa; náuseas e vômitos, hematúria macroscópica ou microscópica; polaciúria/urgência urinária; apresentação atípica comum em crianças mais novas
Exame físico
sensibilidade no ângulo costovertebral e no flanco ipsilateral; em pacientes com dor controlada, a presença de taquicardia e hipotensão pode sugerir urosepse concomitante
Primeira investigação
Sepse
History
pode ser história de diminuição da atividade, preocupação do cuidador de que a criança não está se comportando normalmente; pode não despertar ou ser difícil de estimular
Exam
febre pode estar presente (embora a temperatura central também possa estar normal ou baixa), taquicardia, frequência respiratória elevada, pode haver um tempo de enchimento capilar lentificado, as saturações de oxigênio podem estar <92% ao ar ambiente, estado mental alterado, petéquias ou púrpura podem estar presentes
1st investigation
- Hemograma completo:
Leucócitos: variável; pode haver trombocitopenia
More - glicose sanguínea:
pode haver hipoglicemia ou hiperglicemia
- eletrólitos séricos:
alterados
- lactato sanguíneo:
elevada
More - gasometria arterial:
hipoxemia e/ou hipercapnia; grande deficit de base
- exames de coagulação:
o resultado pode ser anormal
- TFHs:
o resultado pode ser anormal
- hemocultura:
pode haver crescimento de bactérias identificando o patógeno
- radiografia torácica:
pode revelar evidência de pneumonia
- urinálise:
pode ser positiva para nitritos e leucócitos em caso de infecção do trato urinário
- urocultura:
pode ser positiva em caso de infecção do trato urinário
Torção testicular
History
dor testicular de início agudo; náuseas e vômitos; história de episódios recorrentes sugere episódios repetidos de torção testicular seguida de reversão espontânea; pode haver história de trauma
Exam
testículo sensível à palpação e edematoso; o testículo afetado pode parecer mais alto do que o testículo não afetado em posição horizontal; eritema escrotal e edema associados; ausência de reflexo cremastérico; geralmente, não há alívio da dor com a elevação do escroto; a pele fina do escroto às vezes permite a visualização do apêndice torcido ("sinal do ponto azul ou do ponto negro")
1st investigation
- Escore Testicular Workup for Ischemia and Suspected Torsion (TWIST):
baixo risco (escore de 0 a 2), risco intermediário (escore de 3 a 4) ou alto risco (escore de 5 a 7)
More - ultrassonografia duplex com Doppler do escroto:
presença de líquido e sinal do redemoinho (aparência de espiral do cordão espermático devido à torção, à medida que a sonda de ultrassonografia avança em direção descendente, perpendicular ao cordão espermático); ausência ou diminuição do fluxo sanguíneo no testículo afetado, diminuição da velocidade do fluxo nas artérias intratesticulares, aumento de índices de resistência nas artérias intratesticulares
More
Other investigations
- urinálise:
geralmente normal, mas pode ser anormal em alguns casos
More
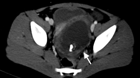
Torção ovariana
History
início agudo de dor pélvica ou abdominal unilateral na parte inferior; náuseas e vômitos são comuns; história de episódios frequentes e similares; a febre é rara
Exam
massa pélvica sensível (anexial); em pacientes com idade suficiente para a realização de exame pélvico, pode ocorrer dor à mobilização do colo; em geral, não há corrimento vaginal, mas pode haver sangramento vaginal de leve a moderado
1st investigation
- ultrassonografia pélvica:
aparência sólida do ovário, aumento ovariano unilateral, estruturas císticas periféricas ovarianas, edema estromal evidente, fluido no saco de Douglas
Cisto ovariano roto
History
a ruptura é geralmente espontânea, pode estar associada a história de trauma ou relação sexual; um desconforto crônico e leve na parte inferior do abdome pode se intensificar repentinamente; pode ocorrer em conjunto com torção
Exam
sensibilidade anexial; tamanho anexial nada digno de nota por causa do cisto colabado; pode haver peritonismo na pelve e parte inferior do abdome
1st investigation
- ultrassonografia pélvica:
massa de aparência complexa; fluido no saco de Douglas
More
Other investigations
Doença inflamatória pélvica (DIP)
History
pacientes sexualmente ativas; vários parceiros; a história pode ser sugestiva de abuso sexual (particularmente em crianças pequenas); a dor aumenta com a relação sexual; dor incômoda na parte inferior do abdome com ou sem disúria; corrimento vaginal, febre baixa
Exam
temperatura >38.3 °C (101 °F); dor à mobilização do colo, sensibilidade anexial ou uterina, corrimento vaginal ou cervical mucopurulento
1st investigation
Other investigations
- ultrassonografia pélvica:
normal ou pode demonstrar endometrite, hidrossalpinge, piossalpingite, abscesso tubo-ovariano
More - sorologia do HIV:
positivos ou negativos
More - estudos de hepatite:
positivos ou negativos
More - reagina plasmática rápida (RPR):
positivos ou negativos
More - Hemograma completo:
leucocitose
More - Proteína C-reativa ou velocidade de hemossedimentação:
elevada
More - laparoscopia:
normal ou pode demonstrar endometrite, hidrossalpinge, piossalpingite, abscesso tubo-ovariano
Mais
Complicações da gestação
História
história prévia de gravidez ectópica ou aborto espontâneo, cirurgia pélvica ou das tubas uterinas, doença inflamatória pélvica; dor na parte inferior do abdome, amenorreia e sangramento vaginal
Exame físico
desconforto abdominal mínimo e/ou sangramento vaginal; o exame pélvico pode revelar uma massa, produzindo dor à mobilização do colo se houver presença de hemoperitônio; a ruptura tubária pode causar instabilidade hemodinâmica
Primeira investigação
Otras pruebas diagnósticas
- tipagem e triagem sanguínea:
variável
Más
Empiema
Antecedentes
pneumonia, febre, tosse, dor torácica recentes; mal-estar, anorexia, perda de peso ou fadiga podem ocorrer; presença de fatores de risco (imunocomprometimento, comorbidades predisponentes ao desenvolvimento de pneumonia, doença pulmonar preexistente, intervenções iatrogênicas no espaço pleural, sexo masculino)
Examen
paciente febril e intoxicado, macicez à percussão, ausência de murmúrios vesiculares na área afetada; desconforto e distensão abdominais sem defesa ou rebote
Primera prueba diagnóstica
El uso de este contenido está sujeto a nuestra cláusula de exención de responsabilidad










