Imagens e vídeos
IMAGENS

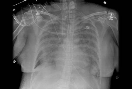
Síndrome do desconforto respiratório agudo (SDRA)
Imagem de radiografia torácica de infiltrados bilaterais em um paciente com síndrome do desconforto respiratório agudo (SDRA)
Do acervo pessoal da Dra. Lorraine Ware; usado com permissão
Veja esta imagem em contexto nas seguintes seções:
Vídeos
Punção de artéria radial - Vídeo de demonstraçãoComo obter uma amostra de sangue arterial da artéria radial.
Punção de artéria femoral - Vídeo de demonstraçãoComo realizar uma punção da artéria femoral para coletar uma amostra de sangue arterial.
Emergências ventilatórias: hipóxia e pressão nas vias aéreas elevadaComo lidar com a hipóxia e o aumento da pressão nas vias aéreas em pacientes ventilados
Intubação traqueal - Vídeo de demonstraçãoComo inserir um tubo traqueal em um adulto usando um laringoscópio.
Ventilação com ressuscitador manual ("bolsa-válvula-máscara") - Vídeo de demonstraçãoComo usar um aparato reanimador manual autoinflável para fornecer suporte ventilatório a adultos. Vídeo de demonstração da técnica em duas pessoas.
Posição pronada nos cuidados intensivosEste vídeo descreve o papel da posição pronada no manejo da insuficiência respiratória grave, as indicações e contraindicações para colocar um paciente nesta posição e as checklists para realizar o procedimento da posição pronada com segurança.
Inserção de cateter venoso central – Vídeo de demonstraçãoInserção guiada por ultrassom de um cateter venoso central (CVC) não tunelizado na veia jugular interna direita, usando a técnica de inserção de Seldinger.
O uso deste conteúdo está sujeito ao nosso aviso legal