Investigações

Primeiras investigações a serem solicitadas

Hemograma completo

Exame
Resultado
Exame

Solicite um hemograma completo em todos os pacientes.[27]

Use os resultados dos exames de sangue iniciais, em combinação com a história e o exame, para estratificar o risco dos pacientes usando um sistema de pontuação; isso determinará se a imagem é necessária.[7] Consulte Estratificação de risco na seção Recomendações de diagnóstico.

  • A leucocitose (10-18 x 109/L) com neutrofilia está presente em 80% a 90% dos adultos com apendicite.

  • A leucocitose (≥16 x 109/L) e o nível elevado de proteína C-reativa (≥10 mg/L) na admissão são fortes fatores preditivos de apendicite em crianças.[7]

Resultado

leucocitose (10-18 x 109/L ou 10.000 a 18.000/microlitro em adultos; ≥16 x109/L ou 16.000/microlitro em crianças)

proteína C-reativa

Exame
Resultado
Exame

Solicite uma proteína C-reativa em todos os pacientes.[27]

  • A proteína C-reativa provavelmente estará elevada.[9]

  • Nível elevado de proteína C-reativa (≥10 mg/L) na admissão e leucocitose (≥16 x 109/L) são fortes fatores preditivos de apendicite em crianças.

Em adultos, use os resultados dos exames de sangue iniciais, em combinação com a história e o exame, para estratificar o risco dos pacientes usando um sistema de pontuação; isso determinará se a imagem é necessária.[7] Consulte Estratificação de risco na seção Recomendações de diagnóstico.

Resultado

provavelmente elevada

ultrassonografia abdominal

Exame
Resultado
Exame

Se a imagem for necessária, procure orientação de um radiologista para determinar a melhor modalidade de imagem para seu paciente.

Solicite um ultrassom se o risco de radiação for uma preocupação; ele deve ser usado como primeira linha em crianças e mulheres grávidas.[7][27][52][53] É um teste rápido e pode ser realizado à beira do leito.[7]​ Verifique os protocolos locais, pois as diretrizes diferem em suas recomendações sobre o uso do ultrassom.

  • A apendicite aguda pode ser descartada se um apêndice normal for visualizado em toda a sua extensão.[7][30]

  • O ultrassom também é útil para detectar causas alternativas de dor abdominal (por exemplo, condições ginecológicas).[7][27]

Solicite uma RNM em uma mulher grávida se a ultrassonografia for inconclusiva.[7][54]

Resultado

estrutura aperistáltica ou não comprimível com diâmetro externo >6 mm

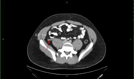
tomografia computadorizada abdominal com contraste

Exame
Resultado
Exame

Se a imagem for necessária, procure orientação de um radiologista para determinar a melhor modalidade de imagem para seu paciente.

Considere a tomografia computadorizada com contraste se:[7]

  • A ultrassonografia é inconclusiva e há suspeita clínica contínua de apendicite[7]

    • Em crianças, solicite tomografia computadorizada ou RNM com base na disponibilidade e experiência locais, se houver dúvida diagnóstica e a ultrassonografia não for conclusiva.[7]

    • A TC de baixa dose é preferencial se a ultrassonografia for negativa.[7]

  • Você suspeita de neoplasia maligna[7]

  • Você suspeita de uma massa apendicular ou abscesso.[7]

A TC com contraste intravenoso, com ou sem contraste oral, tem uma sensibilidade de até 100% em comparação com 92% de sensibilidade da TC com contraste não intravenoso.[61][63][74]

[Figure caption and citation for the preceding image starts]: Tomografia computadorizada do abdome - apêndice espessadoNasim Ahmed, MBBS, FACS; usado com permissão [Citation ends].Tomografia computadorizada do abdome - apêndice espessado​​​

Resultado

apêndice anormal (diâmetro >6 mm) identificado ou apendicolito calcificado observado em associação com inflamação periapendicial

Investigações a serem consideradas

urinálise

Exame
Resultado
Exame

Use o exame de urina para ajudar a excluir uma infecção do trato urinário (ITU).[25]

  • A ITU pode apresentar sintomas e sinais muito semelhantes aos da apendicite.

  • Não faça um diagnóstico de ITU apenas na análise de urina. Também é necessária uma história de sintomas urinários e microscopia de urina.

Esteja ciente de que o exame de urina pode ser anormal em cerca de 50% das pessoas com apendicite aguda devido à inflamação adjacente ao trato urinário e à bexiga do lado direito.[65]

Resultado

se positivo para eritrócitos, leucócitos ou nitritos, um diagnóstico alternativo, como cólica renal ou ITU, deve ser considerado

teste de gravidez

Exame
Resultado
Exame

Teste todas as mulheres em idade fértil para excluir a gravidez, incluindo gravidez ectópica.[66]

Resultado

teste de gravidez positivo

tipagem e reserva de sangue

Exame
Resultado
Exame

Considere uma “tipagem e reserva de sangue” para pacientes submetidos à cirurgia.[27]

Resultado

para uso em salas de cirurgia

ressonância nuclear magnética (RNM) abdominal

Exame
Resultado
Exame

Se a imagem for necessária, procure orientação de um radiologista para determinar a melhor modalidade de imagem para seu paciente.

Solicite uma RNM em uma mulher grávida se a ultrassonografia for inconclusiva.[7]

Em crianças, solicite RNM ou tomografia computadorizada com base na disponibilidade e experiência locais, se houver dúvida diagnóstica e a ultrassonografia for inconclusiva.[7]

Resultado

apêndice anormal (diâmetro > 6 mm) identificado e evidência de alterações inflamatórias periapendiculares, apendicolito, encalhe de gordura

Novos exames

proporção neutrófilos/linfócitos

Exame
Resultado
Exame

A proporção simples entre neutrófilos e linfócitos medidos no sangue periférico demonstrou ter poder preditivo moderado para a apendicite aguda e pode ser uma ferramenta adjuvante útil para o diagnóstico.[67][75]

Resultado

proporção neutrófilos/linfócitos elevada (>4.7)

sódio sérico

Exame
Resultado
Exame

Vários estudos demonstraram uma ligação entre a hiponatremia e a apendicite aguda, e como um preditor de apendicite complicada.[68][69]

Resultado

hiponatremia

pentraxina-3

Exame
Resultado
Exame

A pentraxina-3 é uma proteína de fase aguda, que pode estar elevada na apendicite aguda.[70]

Resultado

pentraxina-3 elevada

amiloide A sérica

Exame
Resultado
Exame

Uma revisão sistemática e uma metanálise mostraram que a amiloide A sérica tem uma sensibilidade e especificidade para apendicite aguda de 0,87 e 0,74, respectivamente.[71]

Resultado

proteina amiloide A sérica elevada

índices plaquetários

Exame
Resultado
Exame

Estudos sugerem que um baixo volume plaquetário médio é um marcador de apendicite aguda.[72][73]

Resultado

baixo volume plaquetário médio

O uso deste conteúdo está sujeito ao nosso aviso legal