Images and videos
Images

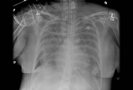
მწვავე რესპირატორული დისტრეს სინდრომი (ARDS)
ARDS მქონე პაციანტებში ბილატერალური ინფილტრატების გულმკერდის რენტგენოგრაფიული სურათი
ექიმ ლორეინ ვეარის პირადი კოლექციიდან; გამოიყენება ნებართვით
See this image in context in the following section/s:
Videos
სხივის არტერიის პუნქტურა- ანიმაციური დემონსტრაციაროგორ მივიღოთ არტერიული სისხლის ნიმუში რადიალური არტერიიდან
ბარძაყის არტერიის პუნქციის ანიმაციური დემონსტრირებაროგორ გავაკეთოთ ბარძაყის არტერიის პუნქცია არტერიული სისხლის ნიმუშის შესაგროვებლად.
გადაუდებელი მდგომარეობები ფილტვის ხელოვნურ სავენტილაციო აპარატთან: ჰიპოქსია და სასუნთქი გზების მაღალი წნევაროგორ გავუმკლავდეთ ჰიპოქსიას და სასუნთქ გზებში წნევის მომატებას ვენტილირებულ პაციენტებში
ტრაქეის ინტუბაციის ანიმაციური დემონსტრირებაროგორ ჩავდგათ ტრაქეის მილი მოზრდილებში ლარინგოსკოპის გამოყენებით.
ნიღბიანი სასუნთქი ტომარა (ამბუ)- ანიმაციური დემონსტრაციაროგორ გამოვიყენოთ ნიღბიანი სასუნთქი ტომარა მოზრდილებთან ვენტილაციის უზრუნვესაყოფად. ვიდეო გვიჩვენებს ორი-პერსონის ტექნიკას.
მუცელზე პოზიციონირება კრიტიკული მოვლის ფარგლებშიეს ვიდეო აღწერს მუცელზე პოზიციონირების როლს მწვავე რესპირატორული უკმარისობის მართვაში, განხილულია ჩვენებები და უკუჩვენებები და საკითხები, რომლებიც უნდა გაითვალისწინოთ პროცედურის უსაფრთოდ შესასრულებლად.
ცენტრალური ვენური კათეტერის ჩადგმა - ანიმაციური დემონსტრაციაცენტრალური ვენური კათეტერის ჩადგმა ულტრაბგერითი კონტროლით მარჯვენა შიდა საუღლე ვენაში, სელდინგერის ჩადგმის მეთოდის გამოყენებით.
Use of this content is subject to our disclaimer